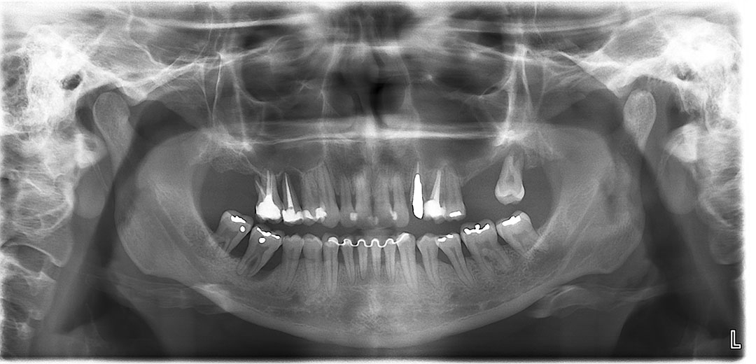
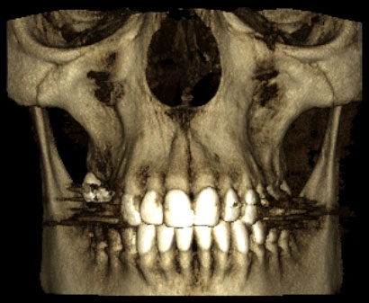
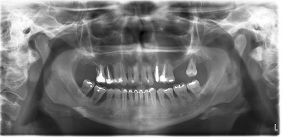
Periapicais, Interproximais, Panorâmica.
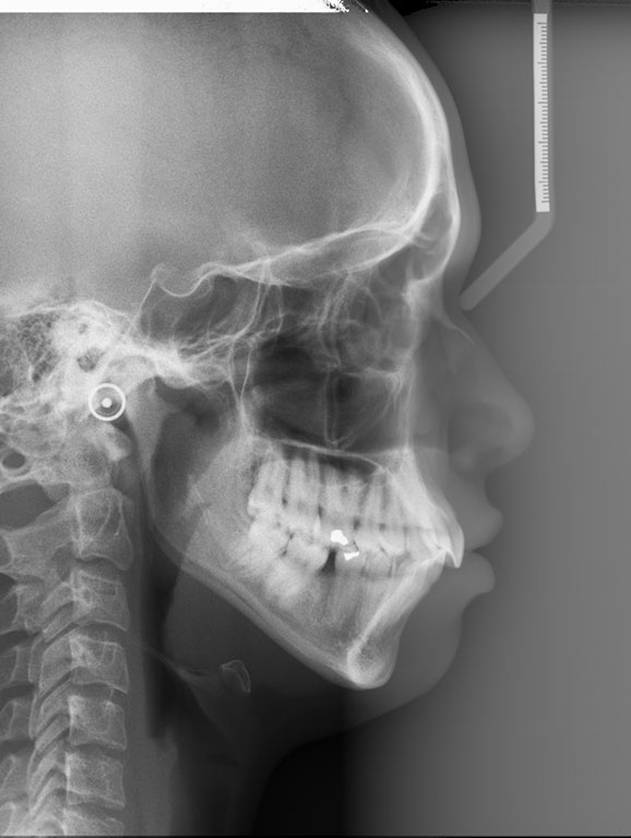
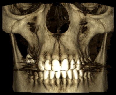
Maxila e Mandíbula, ATMS, Dentes.
Pastas Impressas e/ou online (Consultório Virtual). Pastas Padronizadas - Padronizamos a lista de exames e a pasta de sua clínica.